
Nothing is as good as your natural teeth. Some teeth may have to under go a Root Canal Therapy so as to remain a healthy part of your mouth.
To understand this better we need to know about the basic tooth structure. A Tooth consists of a hard outer layer of ENAMEL, followed by a thick layer of DENTIN & a soft chamber of PULP inside which contains the blood vessels, Nerves & the connective tissues. As a cavity develops over a period of time, it starts from the Enamel & end in the Pulp which will require a Root canal Therapy.
The dentist will remove all the infected & inflamed pulp tissue from the canal, clean & shape the canal & fill it with Medicaments. The tooth is then fitted with crown so as to regain its normal function. WILL THE ROOT CANAL THERAPY BE PAINFUL? These days many RCT are performed so as to save a tooth. With the advanced technique effective Anesthetic procedures, most cases are reported to be painless. Most of our patients are either students or working class who come in the morning, finish their appointments & go back to work. We do assure you the same.

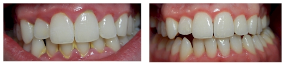
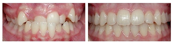
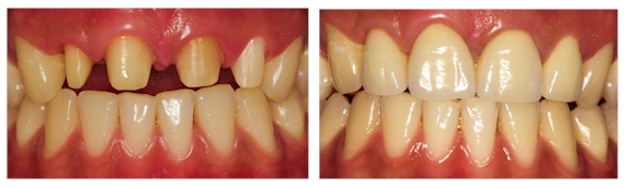
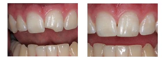
A dazzling smile can project an image of self confidence & high personal esteem in each individual. NOW THIS SMILE CAN BE YOURS TOO !!! We provide you with a team of specialized doctors with the best available materials & equipments to bring you a beautiful, harmonious smile you really deserve. There is no single approach to cosmetic dentistry. It may require any of the following procedures like CROWNS & BRIDGES, COMPOSITE VENEERS, TEETH WHITENING, SMILE DESIGNING, ORTHODONTICS, AESTHETIC GUM CORRECTION etc.


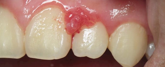
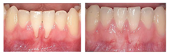
The health of the gums are very much important for a strong, efficient oral health. This is the very essence for a strong set of teeth. Recent studies have shown that there is a relevant link between gum disease with other systemic problems like Heart disease, Diabetes, Stroke, Gastro-intestinal ailments etc.

Warning signs of Gum problems

Therefore it is very cardinal to have a regular dental CHECK UP EVERY SIX MONTHS. we use the latest methods with the best materials available.
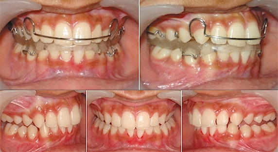
We offer you all types of comprehensive treatments both for adults & children. It has been recommended that each child can initiate an Orthodontic treatment at the age of seven . Certain problems like excessive/ under developed jaws may require a short course of Myofunctional /Habit-breaking therapy.

Advantages of early treatment


With the increased awareness of having a beautiful smile, we have a large number of adult patients in this regard. The treatment ranges from minor tooth corrections to major surgical correction of the jaws. we offer the best quality materials (IMPORTED) for the BEGG Technique, EDGEWISE Technique (Both metallic & Ceramic brackets)

This generally deals with the care of the teeth of children which extensively concerns with the prevention & adequate treatment of dental caries. This may also involve the correction of unwanted dental habits which may drastically affect the teeth alignment. Effective measures like Habit breaking appliances, Orthodontic interceptions, Myofunctional devices etc are done with the utmost professional care.

A dazzling smile can project an image of self confidence & high personal esteem in each individual. NOW THIS SMILE CAN BE YOURS TOO !!! We provide you with a team of specialized doctors with the best available materials & equipments to bring you a beautiful, harmonious smile you really deserve. There is no single approach to cosmetic dentistry. It may require any of the following procedures like CROWNS & BRIDGES, COMPOSITE VENEERS, TEETH WHITENING, SMILE DESIGNING, ORTHODONTICS, AESTHETIC GUM CORRECTION etc.


A dazzling smile can project an image of self confidence & high personal esteem in each individual. NOW THIS SMILE CAN BE YOURS TOO !!! We provide you with a team of specialized doctors with the best available materials & equipments to bring you a beautiful, harmonious smile you really deserve. There is no single approach to cosmetic dentistry. It may require any of the following procedures like CROWNS & BRIDGES, COMPOSITE VENEERS, TEETH WHITENING, SMILE DESIGNING, ORTHODONTICS, AESTHETIC GUM CORRECTION etc.

Don't hesitate to contact us in case of any Dental Emergency / to Book an Appointment.
